-
-
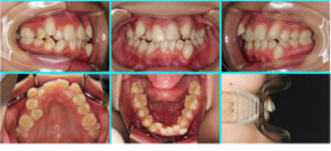
Case
叢生・八重歯(ガタガタ)
症例をご紹介いたします。気になる症例や、よく似た歯のお写真を選んでご覧ください。
ケースはいろいろございますので、お気軽にご相談ください。
-
-
-
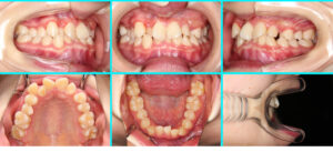
[16] 叢生・非抜歯
ガタガタ・噛み合わせが交叉している(叢生・交叉咬合・非抜歯) 治療前 治療中 治療後 治療の詳細 主[...] 本文を読む
-
-
-
-
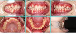
[15] 先天性欠損歯・叢生
大人の歯が足りない(上顎前歯叢生・先天性欠損歯・抜歯) 治療前 治療中 治療後 治療の詳細 主訴 ガ[...] 本文を読む
-
-
-
-
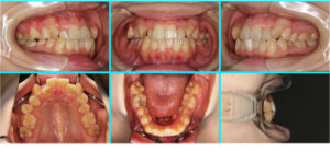
[14] 叢生・過蓋咬合
ガタガタ・噛み合わせが深い(上下顎前歯叢生・過蓋咬合・抜歯) 治療前 治療中 治療後 治療の詳細 主[...] 本文を読む
-
-
-
-
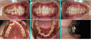
[6] 先天性欠損歯・叢生
ガタガタ・大人の歯が足りていない(上下顎前歯叢生・抜歯) 治療前 治療中 治療後 治療の詳細 主訴 [...] 本文を読む
-
-
-
-
[5] 叢生・八重歯
ガタガタ・八重歯(上下顎前歯叢生・抜歯) 治療前 治療中 治療後 治療の詳細 主訴 八重歯が唇に当た[...] 本文を読む
-