-
-
Case
反対咬合(受け口)
症例をご紹介いたします。気になる症例や、よく似た歯のお写真を選んでご覧ください。
ケースはいろいろございますので、お気軽にご相談ください。
-
-
-
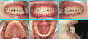
[55] 受け口、前歯のかみ合わせが逆
受け口、前歯のかみ合わせが逆(反対咬合、angle Ⅲ級、非抜歯) 治療前 治療途中 治療の詳細 主[...] 本文を読む
-
-
-
-
[46] 反対咬合・こどもの矯正治療
こどもの矯正(反対咬合・こどもの矯正治療) 治療前 治療中 治療後 治療の詳細 主訴 前歯の噛み合わ[...] 本文を読む
-
-
-
-
[44] 叢生・リンガルブラケット矯正法
ガタガタ・八重歯(叢生・反対咬合・抜歯・リンガルブラケット矯正法) 治療前 治療中 治療後 治療の詳[...] 本文を読む
-
-
-
-
[43] リンガルブラケット矯正法
ガタガタ(叢生・抜歯・リンガルブラケット矯正法) 治療前 治療中 治療後 治療の詳細 主訴 前歯の嚙[...] 本文を読む
-
-
-
-
[37] 子供の矯正治療
こどもの矯正治療(叢生・Ⅰ期治療の途中) 治療前 治療中 治療の詳細 主訴 前歯の反対咬みと受け口か[...] 本文を読む
-
-
-
-
[31] 反対咬合・外科矯正
受け口(反対咬合・外科矯正) 治療前 オペ前 治療後 治療の詳細 主訴 受け口が気になる 年齢・性別[...] 本文を読む
-
-
-
-
[28] 外科矯正治療・反対咬合・開咬
受け口、前歯が噛み合っていない(外科矯正治療・反対咬合・開咬・非抜歯) 治療前 外科手術前 治療後 [...] 本文を読む
-