-
-
Case
症例写真ガイド
症例をご紹介いたします。気になる症例や、よく似た歯のお写真を選んでご覧ください。
ケースはいろいろございますので、お気軽にご相談ください。
-
-
-
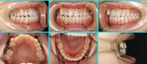
[58] 上下顎前突
ガタガタ・口元の出っ張り・口ごぼ(叢生・舌側転位・抜歯) 治療前 治療後 口元の比較 治療の詳細 主[...] 本文を読む
-
-
-
-
[55] 受け口、前歯のかみ合わせが逆
受け口、前歯のかみ合わせが逆(反対咬合、angle Ⅲ級、非抜歯) 治療前 治療途中 治療の詳細 主[...] 本文を読む
-
-
-
-
[52] リンガルブラケット装置
ガタガタ・八重歯(叢生・唇側転位・抜歯) 治療前 治療中 治療後 治療の詳細 主訴 上の前歯が気にな[...] 本文を読む
-
-
-
-
[51] リンガル矯正 上下顎前突
ガタガタ、口元がでている(叢生、上下顎前突) 治療前 治療中 治療後 治療の詳細 主訴 前歯のガタガ[...] 本文を読む
-
-
-
-
[50] 転院、再治療
ガタガタ(転院、再治療) 治療前 治療中 治療後 治療の詳細 主訴 八重歯が気になる 年齢・性別 2[...] 本文を読む
-