症例をご紹介いたします。気になる症例や、よく似た歯のお写真を選んでご覧ください。
ケースはいろいろございますので、お気軽にご相談ください。
-
-
-
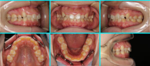
ガタガタ(転院、再治療) 治療前 治療中 治療後 治療の詳細 主訴 八重歯が気になる 年齢・性別 2[...] 本文を読む
叢生・八重歯(ガタガタ)
-
-
-
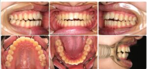
転院・再治療(開咬) 治療前 治療中 治療後 治療の詳細 主訴 前歯が噛み合わない 年齢・性別 19[...] 本文を読む
開咬(前歯で噛めない)
-
-
-
引継ぎ治療(非抜歯・転院) 治療前 治療中 治療後 治療の詳細 主訴 前歯の隙間 年齢・性別 19歳[...] 本文を読む
転院・再治療
-
-
-
ガタガタ・八重歯(叢生・抜歯・再治療) 治療前 治療中 治療後 治療の詳細 主訴 前歯の噛み合わせが[...] 本文を読む
叢生・八重歯(ガタガタ)