-
-
Case
上顎前突(出っ歯)
症例をご紹介いたします。気になる症例や、よく似た歯のお写真を選んでご覧ください。
ケースはいろいろございますので、お気軽にご相談ください。
-
-
-
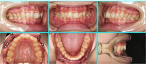
[48] リンガルブラケット矯正法
出っ歯・噛み合わない(叢生・上顎前突・抜歯・リンガルブラケット矯正法) 治療前 治療中 治療後 治療[...] 本文を読む
-
-
-
-
[27] 上顎前突、空隙歯列
出っ歯・歯と歯の隙間(上顎前突・唇側傾斜・空隙歯列・抜歯) 治療前 治療中 治療後 治療の詳細 主訴[...] 本文を読む
-
-
-
-
[23] 先天性欠損歯・上顎前突
ガタガタ・八重歯・大人の歯が足りない(叢生・唇側転位・抜歯・先天性欠損歯) 治療前 治療中 治療後 [...] 本文を読む
-
-
-
-
[11] 上顎前突・開咬
前歯のガタガタ・リンガルブラケット矯正法(上顎前突・開咬・抜歯) 治療前 治療中 治療後 治療の詳細[...] 本文を読む
-