-
-
Case
叢生・八重歯(ガタガタ)
症例をご紹介いたします。気になる症例や、よく似た歯のお写真を選んでご覧ください。
ケースはいろいろございますので、お気軽にご相談ください。
-
-
-
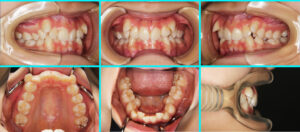
[41] リンガルブラケット矯正法
前歯で噛めない(叢生・開咬・抜歯・リンガルブラケット矯正法) 治療前 治療中 治療後 治療の詳細 主[...] 本文を読む
-
-
-
-
[34] リンガルブラケット矯正法
ガタガタ・八重歯(叢生・唇側転位・抜歯) 治療前 治療中 治療後 治療の詳細 主訴 前歯のガタガタと[...] 本文を読む
-
-
-
-
[25] 叢生・反対咬合
ガタガタ・受け口(叢生・反対咬合・抜歯) 治療前 治療中 治療後 治療の詳細 主訴 前歯のガタガタが[...] 本文を読む
-
-
-
-
[22] 転院・再治療
ガタガタ・八重歯(叢生・抜歯・再治療) 治療前 治療中 治療後 治療の詳細 主訴 前歯の噛み合わせが[...] 本文を読む
-