-
-
Case
症例写真ガイド
症例をご紹介いたします。気になる症例や、よく似た歯のお写真を選んでご覧ください。
ケースはいろいろございますので、お気軽にご相談ください。
-
-
-
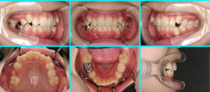
[48] リンガルブラケット矯正法
出っ歯・噛み合わない(叢生・上顎前突・抜歯・リンガルブラケット矯正法) 治療前 治療中 治療後 治療[...] 本文を読む
-
-
-
-
[47] 転院・再治療
転院・再治療(開咬) 治療前 治療中 治療後 治療の詳細 主訴 前歯が噛み合わない 年齢・性別 19[...] 本文を読む
-
-
-
-
[46] 反対咬合・こどもの矯正治療
こどもの矯正(反対咬合・こどもの矯正治療) 治療前 治療中 治療後 治療の詳細 主訴 前歯の噛み合わ[...] 本文を読む
-
-
-
-
[44] 叢生・リンガルブラケット矯正法
ガタガタ・八重歯(叢生・反対咬合・抜歯・リンガルブラケット矯正法) 治療前 治療中 治療後 治療の詳[...] 本文を読む
-
-
-
-
[43] リンガルブラケット矯正法
ガタガタ(叢生・抜歯・リンガルブラケット矯正法) 治療前 治療中 治療後 治療の詳細 主訴 前歯の嚙[...] 本文を読む
-
-
-
-
[42] 子供の矯正治療
こどもの矯正治療(乳臼歯の早期脱落、Ⅰ期治療のみ) 治療前 治療中 治療後 治療の詳細 主訴 前歯の[...] 本文を読む
-
-
-
-
[41] リンガルブラケット矯正法
前歯で噛めない(叢生・開咬・抜歯・リンガルブラケット矯正法) 治療前 治療中 治療後 治療の詳細 主[...] 本文を読む
-
-
-
-
[39] 先天性欠損歯
大人の歯が足りない(先天性欠損歯、Ⅰ期治療からⅡ期治療まで) 治療前 Ⅰ期治療終了時 治療後 治療の[...] 本文を読む
-